Treatment of Pediatric Supracondylar Humerus Fractures
I. Bony Anatomy: The distal humerus is composed of a medial column and a lateral column, which are connected by the articular segment. During fracture, the medial and lateral columns are prone to displacement.

The medial and lateral columns are connected by a thin bone fragment at the olecranon fossa.
* This area represents a structural weak point, making it susceptible to fracture.
* When the elbow is extended beyond neutral position (commonly hyperextension in children), the muscles lose their mechanical advantage.
* The olecranon acts as a fulcrum.
* The joint capsule transmits extension forces to the distal humerus, just proximal to the physis.

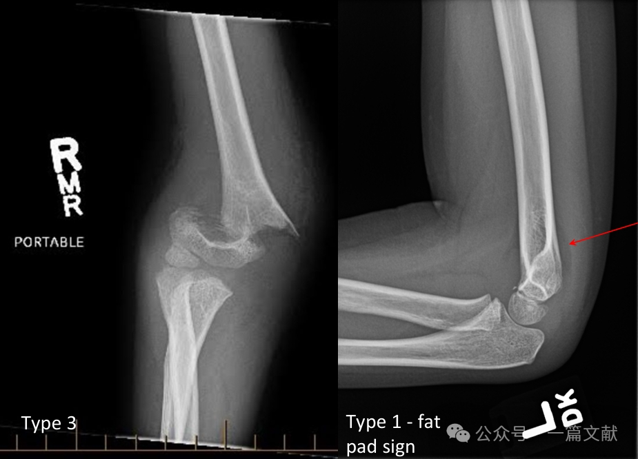
II. Imaging Studies: Plain radiographs are usually sufficient. AP and lateral views of the elbow are required. Obtain ipsilateral forearm/wrist radiographs to assess for associated injuries. Evaluate for the posterior fat pad sign in nondisplaced fractures (indicated by arrow).

Alignment on Lateral Radiograph:
* Anterior Humeral Line (AHL): Should pass through the ossification center of the capitellum.
* Capitellar Anterior Angle: 30-40 degrees.
* Lateral Capitellohumeral Angle (LCHA): Should be less than 69 degrees.
* Posterior Fat Pad Sign: Highly suggestive of fracture (whereas an anterior fat pad sign can be seen without fracture).

Alignment on AP Radiograph:
* Baumann’s Angle: Formed by a line perpendicular to the humeral axis and a line through the capitellar physis. This angle has a wide normal range (9-26 degrees). The best method to determine normality is to obtain a contralateral comparison view.

III. Fracture Types: Common extension-type and flexion-type injuries.

Extension-Type Injuries:
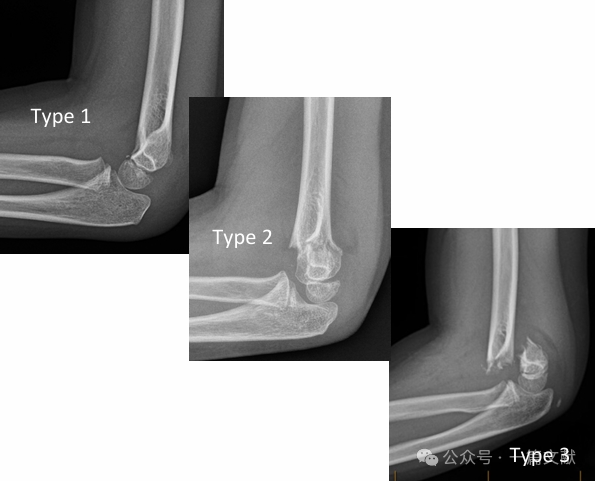
* Classic Gartland Classification:
* Type 1: Nondisplaced.
* Type 2: Displaced fracture, but with an intact posterior hinge.
* Type 3: Displaced fracture with disruption of the posterior hinge.

* Modified Gartland Classification:
* Type 2A: Sagittal plane angulation only. Suitable for closed reduction and long arm casting, requiring close follow-up.
* Type 2B: Fracture with rotational, coronal plane angulation (varus, valgus), and/or translational components. May be associated with comminution or impaction. High failure rate with closed reduction alone (without percutaneous pinning). Closed reduction and percutaneous pinning (CRPP) is recommended.

* Type 3: Complete posterior displacement with disruption of the posterior hinge mechanism; periosteal sleeve is intact.
* Type 4: Unstable in both extension and flexion; periosteal sleeve is disrupted.
* Distinguishing Type 3 vs. Type 4: Differentiation is made intraoperatively using fluoroscopy with the patient under anesthesia—this is an intraoperative distinction.

Flexion-Type Injuries:
* Characterized by greater overall instability and higher complication rates. May be associated with ulnar nerve symptoms.
* Treatment: Any displacement warrants closed reduction and percutaneous pinning (CRPP). These fractures have a higher rate of open reduction and percutaneous pinning compared to extension-type fractures.

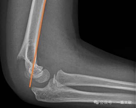
IV. Non-Operative Treatment: Avoid casting the swollen elbow in greater than 90 degrees of flexion. Close follow-up is essential, especially for Type 2 fractures. If treated with closed reduction alone, the loss of reduction rate can be as high as 48% within the first week. Risk factors for displacement include: greater initial displacement, Type 2B fractures, and patients with larger upper arm circumference. As shown in the figure, a patient treated conservatively had fracture displacement on follow-up X-ray at 3 weeks and subsequently underwent surgical fixation with K-wires.

V. Surgical Treatment:
Closed Reduction Technique:
* Apply longitudinal traction to restore length (can be combined with a "milking" maneuver).
* Correct coronal plane translation.
* Correct sagittal plane translation by applying pressure to the olecranon to translate the distal fragment anteriorly and hyperflex the elbow.
* Forearm position: pronation or supination.

"Rule of the Thumb": Point the thumb toward the initial displacement direction of the distal fragment.
* Posteromedial displacement → Pronation tightens the medial soft tissue hinge.
* Posterolateral displacement → Supination tightens the lateral soft tissue hinge.(As shown in the figure)

Acceptable Reduction Criteria:
* Anterior humeral line passes through the capitellum.
* No significant gap (suggests soft tissue interposition).
* No varus (Baumann's angle is increased).
Open Reduction Technique:
* Approach Selection Principle: Follow the metaphyseal ridge.
* Anterior Approach: Indicated for posterior displacement, or when vascular injury and/or median nerve injury are present.
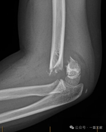
* Medial Approach: Indicated for posterolateral displacement or flexion-type injuries.
* Lateral Approach: Indicated for posteromedial displacement.
* Posterior Approach: Generally avoided; associated with poorer outcomes (stiffness, avascular necrosis, cosmetic concerns).
* Avoid injured tissue planes.
* Minimize further soft tissue disruption.
* As shown in the figure: For a fracture with posterolateral displacement, a medial approach was used for open reduction.

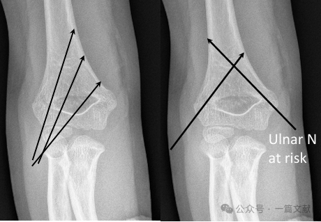
K-Wire Fixation Techniques:
* Lateral-Only Pinning:
* Most commonly used technique.
* Can utilize 2 or 3 laterally placed K-wires.
* Cross Pinning (Medial & Lateral):
* Provides biomechanical stability.
* Carries a risk of iatrogenic ulnar nerve injury.

* All-Lateral Pinning (divergent):
* Carries a risk of radial nerve injury.
* Less commonly used.

* Antegrade Intramedullary Nailing: Also described. Suitable for high supracondylar fractures.
* Biomechanics: Cross-pinning is the most stable construct biomechanically. However, for most Type 3 fractures, cross-pinning has not demonstrated a clear clinical advantage over lateral-only pinning. Cross-pinning carries a higher risk of iatrogenic ulnar nerve injury (4.3-fold increased risk).
* Indications for Medial Pinning Include:
* Medial comminution.
* Proximal medial to distal lateral oblique fracture pattern (reverse oblique fracture).
* Intra-articular variant fractures. (As shown in the figure).

* Medial Pinning Technique:
* Place two lateral K-wires first.
* Extend the elbow to 45 degrees to relax the ulnar nerve.
* Be aware of ulnar nerve subluxation (present in ~16% of children, Zaltz 1996).
* Use thumb retraction or a small incision to protect the ulnar nerve during pin placement.
* Iatrogenic Nerve Palsy Post-op: Controversy exists regarding whether to remove the pins.

* Ideal Pin Placement Requirements: Use 1.5-2 mm K-wires. Pins should engage the medial and lateral columns with a divergent pattern. Greater separation between pins increases stability. As shown in the figure, pin configurations for Type 2A, 2B, and 3 fractures.


* Achieve wide separation at the fracture site.
* Pins should follow the metaphyseal flare to capture the lateral column.
* Laterally placed pins can be used to capture the medial column.
* Pin tips should engage the distal fragment just proximal to the fracture line.
* A third pin can be added between the two main pins for additional stability.

Intraoperative Fluoroscopic Assessment of Stability:
* Check AP alignment with the elbow in extension.
* Obtain a true lateral view to assess alignment.
* Obtain oblique views to assess medial and lateral column reduction.
* Consider dynamic fluoroscopic stress views to evaluate the stability of the reduction construct (especially if limited follow-up is planned).
* AP View: Apply rotational stress, varus/valgus stress.
* Lateral View: Assess range of flexion and extension.

VI. Postoperative Management:
To prevent complications from postoperative swelling, a cast with a cut-out (as depicted) can be utilized.

K-wires are typically removed 3-4 weeks postoperatively.
VII. Summary:
* Meticulous preoperative neurovascular examination is crucial.
* Do not miss ipsilateral associated fractures ("floating elbow" injuries).
* Type 2A fractures can be managed with closed reduction and casting.
* Close follow-up is required for some nonoperatively treated cases.
* Timing for surgery is urgent only if signs of vascular compromise are present.
* Surgical treatment typically involves closed reduction and percutaneous pinning (CRPP) and its modifications.
* Treatment variations exist for pediatric supracondylar humerus fractures.