Innovatív megközelítés a fibula intramedullaris clamos kezelésére: műszaki megjegyzés

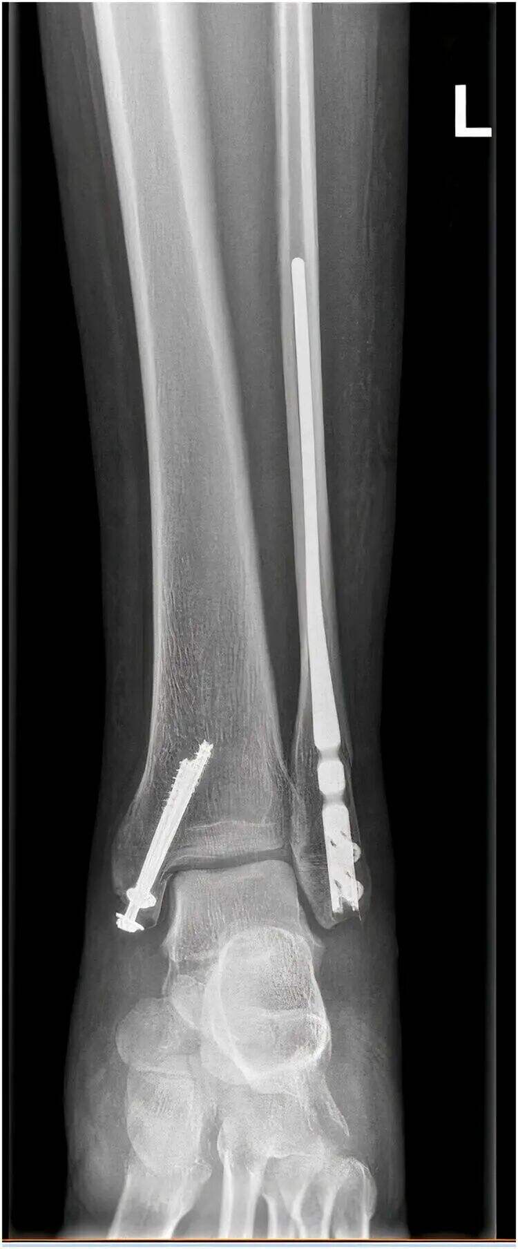
Az intramedullaris záró fibulaclips stabilizálja a distalis fibula töréseket hosszban és rotációban egy kis metszésen keresztül, lehetővé téve a distalis fibula törések minimálisan invazív kezelését. A fő clipp mellett az implantátum egy szindeszmotikus csavart is tartalmaz, amelyet kívülről befelé helyeznek be, valamint anteroposterior záró csavarokat, így elérve a „terhelésmegosztást”, amely korábbi betegmobilizációt tesz lehetővé. A minimálisan invazív megközelítés csökkenti az infekció és a rossz sebgyógyulás kockázatát is.
Ez a technika kiemeli az intramedullaris záró fibulaclipp optimális belépési pontját a redukció minőségének megfelelően, valamint a szindeszmotikus csavar beültetésének indikációit.
Zárt manuális redukció. A Lauge–Hansen-féle supináció-externa rotáció típusú 3. és 4. boka-törések példájaként a bokát belső rotációban és supinációban kell tartani, igyekezve közel anatómiai helyzetet elérni.


Ha anatómiai redukció érhető el, az intramedullaris clavát a fibula csúcsának közepéből lehet bevezetni.

Ha a zárt redukció nem sikerül, válasszon bevezetési pontot, amely lehetővé teszi az intramedullaris clava óvatos beverését, így az implantátum nyomása és alakíthatósága segít a törés anatómiai helyzetbe való korrekciójában. Ebben az esetben a bevezetési pontot kissé dorsálisan és laterálisan kell kiválasztani a fibula csúcsa felett (eltérően a gyártó által ajánlott bevezetési ponttól, amely a fibula csúcsának centrális caudális részén helyezkedik el).

3. Ha a fenti lépések egyike sem eredményezi a kielégítő redukciót, akkor ajánlott egy kis metszés a törés helyén nyitott redukció céljából, ahogy az alábbi ábra mutatja.

4. A szindestmótikus csavar vonatkozásában: Amennyiben az intramedullaris tű elegendően hosszú, és jól illeszkedik a csontvelőcsatornához, az intraoperatív vizsgálat során előfordulhat, hogy a tű maga biztosítja a szindestmótis elegendő stabilitását. Ha a tű beültetése után a horogteszt vagy az externális rotációs terheléses teszt stabil szindestmótist mutat, a szindestmótikus csavar beültetése elmaradhat.
