»Zlati standard« v ortopediji: intramedularno klinjanje pri intertrohanteričnih frakturah – natančna redukcija + hitra okrevanje
Klinična predstavitva
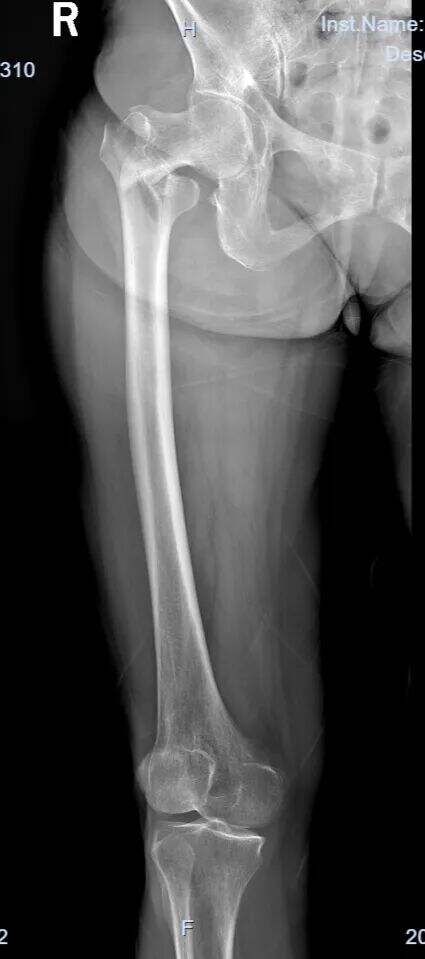
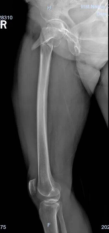
Starejša ženska, sprejeta po padcu.



Diagnoza: Pravi femoralni intertrohanterni zlom (AO razvrstitev tipa 31-A1.3).

Pri zlomih tipa 31-A1.3 je doseganje zadovoljive zmanjšanja vedno bilo izziv.
Postopek med operacijo:
Poskus zaprta zmanjšanja, vendar ni uspel. Več vlečne sile je uporabljeno, več je bilo premaknjen v višji del zaradi vlečenja iliopsoas mišice.


Narezen je bil 2 cm prednji mini-rez. Mesto zloma je bilo opazovano z prstom. Ugotovljeno je bilo, da je proksimalni fragment premaknjen navzgor, distalni fragment pa nazaj in zaklenjen. V mesto zloma je bil vstavljen klešča; pod vodstvom prsta v kombinaciji s kleščo so bili zaklenjeni fragmenti odklenjeni. Nato je bila klešča uporabljena za ohranitev kakovosti redukcije z medialno in lateralno kompresijo. Izvedena je bila običajna lokalizacija, vstavitev vodilne žice ter standardni kirurški postopek. 
Medularni kanal je bil ozek. Nobenega razširjanja ni bilo izvedeno. Intramedularni klin s premerom 9 mm je bil vstavljen v tesen fit. Prilagoditev anteversije cefalomedularnega vijaka se je izkazala za težko.




»Zlati standard« v ortopediji: intramedularno klinjanje pri intertrohanteričnih frakturah – natančna redukcija + hitra okrevanje